QUALITY ENGINEERING
HOT NEWS
豆科植物與根瘤菌形成的共生固氮體系是自然界最高效的生物固氮方
READ MORE > 2025-12-12
人類免疫缺陷病毒(HIV)感染的一個顯著特征是腸道屏障完整性
READ MORE > 2025-12-07
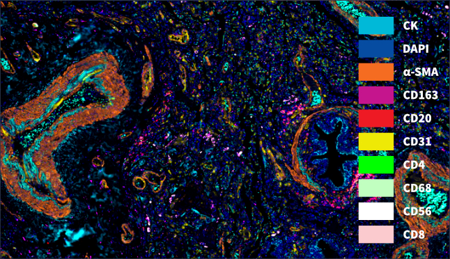
三陰性乳腺癌(TNBC)三陰性乳腺癌(TNBC)是乳腺癌(B
READ MORE > 2025-12-01
德國Implen除了眾所周知的NanoPhotometer?
READ MORE > 2025-11-21
近日,《Acta Pharmaceutica Sinica
READ MORE > 2025-11-14
在運行qPCR實驗或分析數據時,有時候會遇到軟件報錯,小編在
READ MORE > 2025-11-07
